主办方:合作
官方网站:
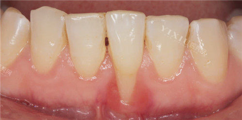
牙龈萎缩,这一常见的口腔问题,常常让人们在追求美丽与健康牙齿的道路上感到困惑与不安。牙龈萎缩不仅影响美观,还可能对口腔健康造成深远影响,包括牙齿松动、敏感甚至脱落。那么,牙龈萎缩能否进行种植牙?
牙龈萎缩是否适合进行种植牙,主要取决于牙龈萎缩的程度以及患者的整体口腔健康状况。在一般情况下,如果牙龈萎缩并不重度,牙槽骨的高度和宽度仍然足够支持种植体,那么是可以进行种植牙手术的。此时,种植体的稳定性不会受到太大影响,患者可以在医生的指导下进行种植牙修复,改善牙齿的功能与美观。
然而,当牙龈萎缩到一定程度,引起牙槽骨重度吸收时,骨量可能无法为种植体提供有效的支持和保护。此时进行种植牙手术可能结果不佳,甚至可能导致种植失败。在这种情况下,医生可能会建议靠前行骨增量术和软组织增量术,以增加牙槽骨的质量和数量,然后再进行种植牙手术。
种植牙虽然是一种靠前的牙齿修复方式,但并非所有人都适合进行种植牙手术。以下是一些主要的限制条件:
口腔健康状况:良好的口腔健康是进行种植牙的基础。患者需要确保没有重度的牙周病、牙龈炎等口腔疾病,这些疾病可能影响种植牙的成功概率和长期稳定性。同时,口腔内应无未控制的感染源,如急性炎症、脓肿等。
全身健康状况:患者的整体健康状况也是种植牙手术的重要考量因素。患有重度的心脏病、高血压、糖尿病等慢性疾病的患者,在病情稳定并得到医生许可后,方可进行种植牙手术。同时,患者需确保无出血性疾病、凝血功能障碍等,以避免手术过程中出现难以控制的出血情况。
年龄与骨骼发育:种植牙通常建议在骨骼发育完成后进行,即青少年需待成年后再考虑种植牙。因为未成年人的颌骨仍在发育中,种植牙可能会影响其正常生长。
足够的牙槽骨量:种植牙需要植入人工牙根到牙槽骨中,因此足够的牙槽骨量是种植成功的关键。如果牙槽骨量不足,可能需要通过植骨手术来增加骨量。
牙龈萎缩的修复方法主要包括改善刷牙习惯、合理搭配饮食、调整咬合力、牙周系统治疗以及手术治疗等。以下是一些具体的修复措施:选择软毛牙刷,采用巴氏刷牙法,即牙刷与牙齿呈45度角,轻轻震颤刷洗牙齿表面及牙缝,避免横向用力刷牙以免损伤牙龈。早晚刷牙,每次至少两分钟,确保干净清洁口腔。
增加新鲜蔬菜和水果的摄入,补充维生素C、维生素E及钙等微量元素,有助于增强牙龈组织的抵抗力和修复能力。减少辛辣、坚硬食物的摄入,以免刺激和损伤牙龈。对于因咬合紊乱导致的牙龈萎缩,可在医生指导下通过正畸治疗调整牙齿排列和咬合关系,减轻对牙龈的过度压力。
包括龈上洁治、龈下刮治、根面平整等步骤,旨在干净清除牙菌斑、牙结石等致病因素,减轻牙龈炎症,促进牙周组织再生。对于重度牙龈萎缩且影响美观或功能的患者,建议就医进行手术治疗,如膜龈手术、侧向转移瓣手术等,以改善牙龈形态和功能。
总之,牙龈萎缩虽然是一个令人担忧的问题,但通过正确的治疗和护理,我们完全有可能改善健康的牙龈和美丽的笑容,在选择任何治疗方案之前,请务必询问口腔医生,以确保得到更适合自己的治疗建议。


