主办方:合作
官方网站:
在美丽的笑容背后,往往隐藏着一些不为人知的牙齿问题。其中,上牙包住下牙,即深覆盖问题,是许多人都可能面临的困扰。这不仅影响了口腔的正常功能,还可能给个人的外貌带来不良影响。然而,别担心,正畸医生告诉我们,通过科学有效的正畸治疗,我们完全可以把上牙压回去,让牙齿恢复正常的排列和咬合。
本文将详细解答正畸如何把上牙压回去的问题,帮助你了解上牙包住下牙如何矫正的过程。
一、正畸治疗的基本原理与过程
正畸治疗是通过一系列技术手段,调整牙齿的位置和排列,以恢复口腔的正常功能和美观。其基本原理是利用牙齿和颌骨的可塑性,通过施加适当的力,使牙齿在牙槽骨内发生移动。
正畸治疗的过程通常包括以下几个步骤:首先,正畸医生会进行多方面的口腔检查,评估患者的牙齿和颌骨状况,制定个性化的治疗方案;其次,安装矫治器,如金属托槽、陶瓷托槽或隐形牙套等,通过矫治器施加力量,使牙齿逐渐移动;然后,定期进行复诊和调整,确保牙齿按照预定的方向移动;在牙齿排列整齐后,佩戴保持器一段时间,以巩固治疗结果。
二、上牙包住下牙的原因分析
上牙包住下牙的原因多种多样,主要包括遗传因素、不良口腔习惯以及环境因素等。遗传因素是指个体在生长发育过程中,由于遗传基因的作用,导致牙齿和颌骨的发育异常。不良口腔习惯,如长期用口呼吸、吮吸手指等,也可能导致上牙向前突出,形成深覆盖。此外,环境因素如牙齿拥挤、牙列间隙过大等,也可能对上牙的位置产生影响。
三、正畸治疗如何矫正上牙包住下牙
针对上牙包住下牙的问题,正畸医生会根据患者的具体情况,制定个性化的治疗方案。常见的正畸治疗方法包括以下几种:
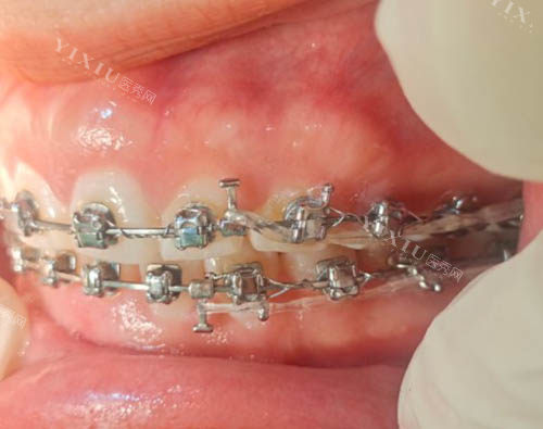
金属托槽矫正:通过在牙齿表面粘贴金属托槽,并使用弓丝连接各个托槽,通过调整弓丝的张力,使牙齿逐渐移动到正确的位置。这种方法虽然较为传统,但结果稳定,适用范围广。
陶瓷托槽矫正:陶瓷托槽的颜色与牙齿相近,具有较好的隐蔽性。其矫正原理与金属托槽类似,但外观更加美观。
隐形牙套矫正:隐形牙套采用透明高分子材料制成,几乎不可见,适合对美观要求较高的患者。通过定期更换牙套,使牙齿逐渐移动到预定位置。
在正畸治疗过程中,医生会根据患者的牙齿移动情况,定期调整矫治器的力度和方向,确保牙齿按照预定的方向移动。同时,患者也需要积极配合医生的治疗建议,如保持口腔卫生、避免吃过硬的食物等,以满足治疗结果。
四、正畸治疗后的维护与注意事项
正畸治疗结束后,患者需要佩戴保持器一段时间,以巩固治疗结果。保持器的作用是防止牙齿在治疗后出现反弹,确保牙齿能够长期保持整齐美观的状态。在佩戴保持器期间,患者需要定期复诊,检查牙齿的状况,并根据医生的建议进行调整。
此外,患者在日常生活中也需要注意口腔卫生的维护。保持良好的口腔卫生习惯,如定期刷牙、使用牙线等,有助于预防口腔疾病的发生,保持牙齿的健康状态。同时,避免吃过硬的食物,以免对牙齿造成不必要的损伤。
通过本文的介绍,我们了解到正畸治疗是一种科学有效的方法,可以帮助我们解决上牙包住下牙的问题。在正畸治疗过程中,医生会根据患者的具体情况制定个性化的治疗方案,通过施加适当的力使牙齿逐渐移动到正确的位置。同时,患者也需要积极配合医生的治疗建议,做好口腔卫生的维护和保持器的佩戴工作。相信在正畸医生的帮助下,我们一定能够拥有健康美丽的牙齿和自信的笑容。
总之,面对上牙包住下牙的问题,我们不必过分担忧。只要选择正规医疗机构和靠谱正畸医生进行治疗,并严格按照医生的建议进行护理和维护,就一定能够取得满意的治疗结果。
编辑:小喵


