主办方:合作
官方网站:
在金昌补牙多少钱是许多人在选择牙医诊所时首要考虑的问题。补牙的价格因诊所和治疗方案的不同而有所差异。
一般而言,金昌的补牙价格在200元至1000元之间,具体费用会根据您的牙齿情况、使用的材料以及医生的经验而有所浮动。因此,建议您在选择诊所之前,先咨询不同牙医的价格,并根据自己的经济条件做出选择。
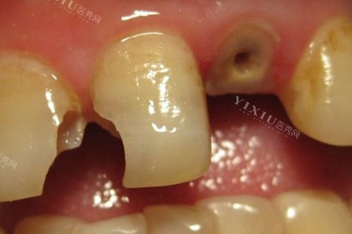
对于大牙被蛀空的问题,建议您尽快就医,以免病情进一步恶化。蛀空是指牙齿表面出现洞穴或部分被破坏,这可能会导致食物残渣积聚、疼痛、感染等问题。在金昌,针对大牙蛀空的情况,常见的治疗方法包括:
牙齿补缺:根据蛀空的程度,牙医会使用相应的材料(如树脂、陶瓷等)进行填充修复,以恢复牙齿形态和功能。补牙是治疗大牙蛀空常见的方法,也是更经济实惠的选择。
牙齿牙冠修复:如果蛀空程度比较深,补牙成效不佳,牙医可能会推荐牙冠修复,将感染部分清除,然后在根据剩余牙体部分进行个性化定制牙冠,从而修补牙齿以达到美观和功能恢复的目的。
牙齿根管治疗:当大牙蛀空程度到影响牙髓(牙齿内的组织)时,可能需要进行根管治疗。根管治疗是将受损或感染的牙髓清除并用特殊材料填充,以挽救牙齿并预防进一步感染。
除了上述治疗方法,金昌的一些牙医诊所还提供其他治疗选项,如牙齿种植和牙冠修复等。这些治疗方案的价格较高,但能够有效解决大牙蛀空的问题,并且在外观和功能方面更接近自然牙。
总而言之,如果您在金昌补牙,了解价格是必要的。在选择诊所时,可以咨询多家牙医,了解不同治疗方案的价格和成效。对于大牙被蛀空的情况,及时就医并选择合适的治疗方法是关键。
请记住,定期口腔检查和良好的口腔卫生习惯也是预防牙齿问题的重要手段,希望您能保持健康的牙齿。
编辑:辙辛


